Multiple Myeloma Nedir?

Multipl miyelom belirtileri nelerdir? Multipl miyelom iyileşir mi? Multipl miyelom ölüm riski nedir? Multipl miyelom hastaları ne kadar yaşar?

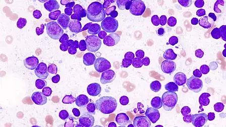
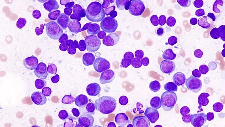
Multipl miyelom, kemik iliğinde bulunan ve bağışıklık sisteminin önemli bir parçası olan plazma hücrelerinin kontrolsüz çoğalmasıyla ortaya çıkan bir kan kanseri türüdür.

 

Multipl Miyelom Belirtileri Nelerdir?

 

Multipl miyelomun belirtileri kişiden kişiye değişebilir ve hastalığın evresine göre farklılık gösterebilir. En yaygın belirtiler şunlardır:

  • Kemik Ağrısı: Özellikle sırt, kaburga ve kalça kemiklerinde hissedilen, dinlenmeyle geçmeyen ağrılar sıkça görülür.
  • Kemik Kırıkları: Kemiklerin zayıflaması nedeniyle hafif bir travmayla bile kırıklar meydana gelebilir.
  • Halsizlik ve Yorgunluk (Anemi): Anormal plazma hücreleri normal kan hücrelerinin üretimini engellediği için kansızlık (anemi) gelişir. Bu da halsizlik, yorgunluk ve nefes darlığına yol açar.
  • Sık Enfeksiyonlar: Bağışıklık sisteminin zayıflamasıyla birlikte hastalar zatürre, idrar yolu enfeksiyonu gibi enfeksiyonlara karşı daha yatkın hale gelir.
  • Böbrek Problemleri: Miyelom hücrelerinin ürettiği proteinler böbreklerde birikerek böbrek fonksiyonlarını bozabilir. Bu durum idrar miktarında azalma veya ödem gibi belirtilerle kendini gösterebilir.
  • Hiperkalsemi (Kanda Kalsiyum Yüksekliği): Kemik yıkımına bağlı olarak kana salınan kalsiyum miktarı artar. Bu da bulantı, kabızlık, aşırı susama ve bilinç bulanıklığı gibi belirtilere neden olabilir.

 

Multipl Miyelom İyileşir mi?

 

Multipl miyelom, günümüzde tam olarak iyileşme sağlanan bir hastalık olarak kabul edilmez. Ancak son yıllarda geliştirilen yeni tedavi yöntemleri sayesinde hastalığın seyri önemli ölçüde kontrol altına alınabilmekte ve hastaların yaşam kalitesi ciddi oranda artırılabilmektedir. Tedavi, hastalığı baskılamaya ve belirtileri yönetmeye odaklanır.

Tedavi yöntemleri arasında şunlar bulunur:

  • Kemoterapi: Kanser hücrelerini yok etmek için kullanılır.
  • Hedefe Yönelik Tedaviler: Kanser hücrelerindeki spesifik zayıflıklara odaklanan yeni nesil ilaçlardır.
  • Kök Hücre Nakli: Hastanın kendi kök hücrelerinin kullanıldığı (otolog nakil) bu yöntem, uzun süreli remisyon (hastalığın baskılanması) sağlayabilir.
  • Radyasyon Terapisi: Ağrılı kemik lezyonları gibi belirli bölgeleri hedef almak için kullanılır.

 

Multipl Miyelom Ölüm Riski ve Yaşam Süresi Nedir?

 

Multipl miyelomda yaşam süresi, birçok faktöre bağlı olarak büyük farklılıklar gösterir. Bu faktörler arasında hastalığın evresi, genetik yapısı, hastanın yaşı ve genel sağlık durumu yer alır.

Eskiden, tedavi seçenekleri daha kısıtlıyken yaşam süresi daha kısaydı. Ancak yeni ilaçlar ve kök hücre nakli gibi yöntemler sayesinde yaşam süresi önemli ölçüde uzamıştır. Günümüzde, özellikle erken evrede teşhis konan ve yeni tedavilere erişebilen hastalar için 10 yılın üzerinde bir yaşam süresi nadir değildir.

Hastalık evresi, yaşam süresi üzerinde belirleyici bir rol oynar:

  • Evre I: 5 yıllık genel sağkalım oranı %82'ye kadar çıkabilir.
  • Evre III: Bu oran %40 civarındadır.

Multipl miyelom ölüm riski, hastalığın kendisine bağlı komplikasyonlardan kaynaklanır. En önemli riskler arasında böbrek yetmezliği, ciddi enfeksiyonlar ve kemik kırıkları bulunur. Ancak düzenli tedavi ve takip ile bu riskler yönetilebilir.

Karaköse Haber - Bizi Sosyal Medyada Takip Edin!