• Haberler
  • Bitlis
  • Bitlis'te 5 yaşındaki çocuğun yuttuğu toplu iğne ameliyatla çıkarıldı

Bitlis'te 5 yaşındaki çocuğun yuttuğu toplu iğne ameliyatla çıkarıldı

Bitlis'in Güroymak ilçesinde, 9 ay önce yuttuğu toplu iğne nedeniyle sağlık sorunları yaşayan 5 yaşındaki çocuk, başarılı bir operasyonla sağlığına kavuştu.

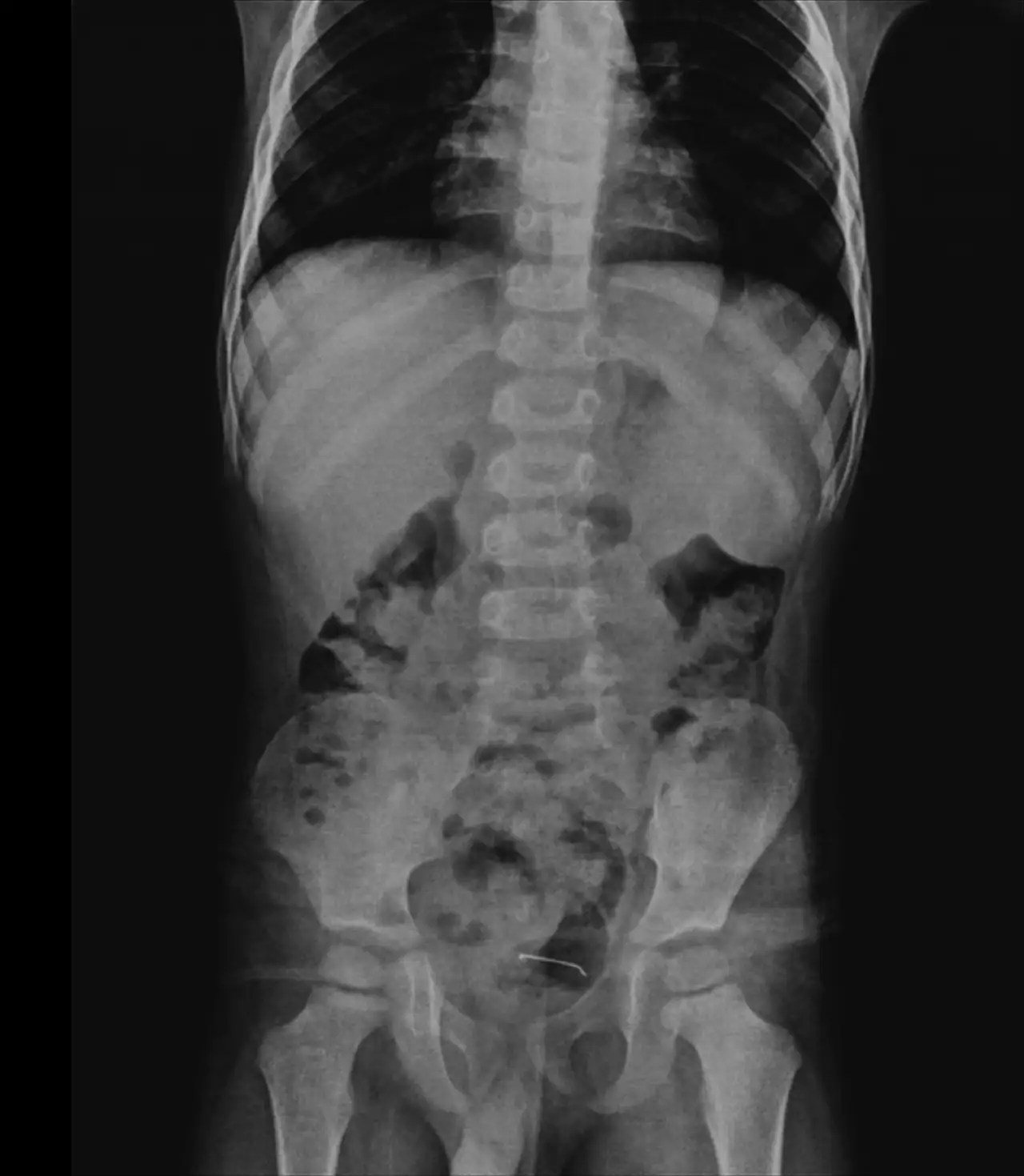
Daha önce farklı sağlık kuruluşlarına başvuran ancak kesin bir sonuca ulaşamayan aile, çocuğun karın ağrısı şikayetinin artması üzerine 4 gün önce Tatvan Devlet Hastanesi’ne başvurdu. Yapılan röntgen incelemelerinde, çocuğun mesane duvarında metal bir cisim bulunduğu tespit edildi. Yaklaşık 3 santimetre uzunluğundaki toplu iğnenin, uzun süre vücutta kalması nedeniyle mesane duvarına yapıştığı belirlendi.

Aileye bilgi verilmesinin ardından Çocuk Cerrahi Uzmanı Op. Dr. Tahsin Onat Kamçı tarafından gerçekleştirilen operasyonla toplu iğne başarılı bir şekilde çıkarıldı.Bitlis'te 5 yaşındaki çocuğun yuttuğu toplu iğne ameliyatla çıkarıldı

Doktorlardan Önemli Uyarı

Ameliyatı gerçekleştiren Op. Dr. Tahsin Onat Kamçı, çocuğun 9 ay önce bir cisim yuttuğunu ancak ailenin bunun tam olarak ne olduğunu ayırt edemediğini belirtti. Yapılan muayeneler sonucunda, yutulan cismin doğal yollarla vücuttan atılamadığını fark ettiklerini dile getiren Kamçı, şu açıklamalarda bulundu:

"Ameliyat sırasında cismin mesane duvarına yapıştığını tespit ettik ve cerrahi müdahaleyle çıkardık. Operasyon sonrası hastamızı birkaç gün gözlem altında tuttuk. Genel sağlık durumu iyi olan çocuğumuzu taburcu ettik."

Bazı yabancı cisimlerin sindirim yoluyla doğal şekilde vücuttan atılabildiğini ancak kesici ve delici cisimlerin ciddi sağlık riskleri taşıdığını vurgulayan Kamçı, ebeveynlere şu uyarıda bulundu:

"Bu tür tehlikeli cisimler, özellikle küçük çocukların ulaşamayacağı yerlerde muhafaza edilmeli. Çocukların farkında olmadan yutabileceği tehlikeli maddeler konusunda ailelerin daha dikkatli olması gerekiyor."Bitlis'te 5 yaşındaki çocuğun yuttuğu toplu iğne ameliyatla çıkarıldı

Karaköse Haber - Bizi Sosyal Medyada Takip Edin!
AA

Bakmadan Geçme